Sabemos que el SARS-CoV-2 está cada vez más extendido y conocemos las medidas que hay que tomar para protegerse, pero, ¿sabemos qué es lo que ocurre una vez que el virus penetra en nuestro cuerpo? Sistema respiratorio afectado, órganos vitales dañados… y finales inesperados son comunes cuando se trata de coronavirus.
Adentrémonos en el proceso que se pone en marcha cuando el SARS-CoV-2 ingresa en el cuerpo humano y comienza a extenderse a los diferentes órganos.
Todo comienza cuando el virus se introduce a través de la nariz, boca u ojos al entrar estos en contacto con las pequeñas gotas que expulsa otra persona ya contagiada al toser o estornudar.
Tal y como recoge The New York Times, en ese momento las partículas del virus se desplazan a la parte posterior de la cavidad nasal o a la mucosa de la garganta, para después pegarse a un receptor de células gracias a las proteínas en forma de púa que recubren sus partículas.
Lo primero que ocurre es que el material genético del coronavirus anula la función correcta de la célula y esta empieza a multiplicar rápidamente las copias del nuevo virus. Los primeros síntomas aparecen en forma de tos e irritación en la garganta, pero pronto se empiezan a infectar células vecinas y el virus «se extiende progresivamente por los bronquios», como explica el doctor especialista en enfermedades infecciosas de la Universidad de Vanderbilt, William Schaffner.
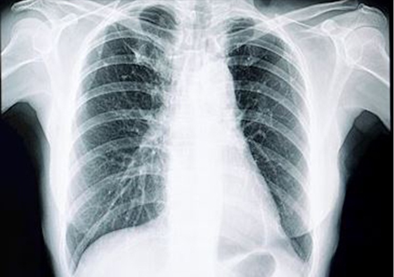
Una vez en los bronquios, el virus causa que las mucosas pulmonares se inflamen y se dañen los alveolos. En consecuencia, el proceso de oxigenación de la sangre se ve afectado. Estos dos factores, en ocasiones, pueden llevar a que las zonas afectadas de los pulmones se llenen de fluido, pus y células muertas, hasta el punto de provocar una neumonía, recoge el medio estadounidense. UN



